Bebê nasceu grávido de gêmeos e surpreendeu médicos na China, passando por cirurgia de remoção dos fetos com apenas três semanas de gestação.
A condição, conhecida como “foetus in foetu”, ocorre apenas em um de 500.000 nascimentos no mundo.
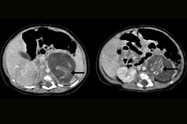
Os fetos tinham pernas, braços, coluna vertebral, costelas e intestinos. Ambos cobertos de pele. A cirurgia foi bem sucedida e a menina teve alta do hospital oito dias depois.

Yu Kai-man, um médico especialista em obstetrícia e ginecologia, acredita que é o primeiro caso documentado na cidade.
“Uma vez que é impossível para a menina ter concebido a gravidez por conta própria, a fertilização dos fetos gêmeos, é claro, pertence a seus pais”, disse ele. Menos de 200 casos já foram relatados até hoje.





